Home
Meet Dr. Susie Ang
Meet Dr. Susie Ang
Choosing a Cosmetic Dentist
Blog
Gallery
Dentistry Through the Ages
Routine
Routine
Periodontal Care and Laser Dentistry
Oral Exams and Dental Cleanings
Digital X-Rays
Oral Cancer Screening with VELscope
®
Holistic Dentistry
Holistic Dentistry
Mercury Free Dentistry
Snoring and Sleep Apnea
Vivos
®
TMJ Disorder, Bruxism, and Migraine Treatments
Cosmetic & Implant Dentistry
Cosmetic & Implant Dentistry
Porcelain Veneers
Teeth Whitening
Dental Implants
Dental Bonding
Dental Bridges and Crowns
Tooth Colored Fillings
Full Mouth Reconstruction
Orthodontics
Orthodontics
Children’s Two-Phase Orthodontic Treatment
Orthodontics for Adults
ALF Lightwire Orthodontics
Myobrace
®
Invisalign
®
Contact
Menu
Contact
Location
Call Today
905.731.8220
7787 Yonge Street, Ste 7
Thornhill, Ontario L3T 7L2
Home
Meet Dr. Susie Ang
Meet Dr. Susie Ang
Choosing a Cosmetic Dentist
Blog
Gallery
Dentistry Through the Ages
Routine
Routine
Periodontal Care and Laser Dentistry
Oral Exams and Dental Cleanings
Digital X-Rays
Oral Cancer Screening with VELscope
®
Holistic Dentistry
Holistic Dentistry
Mercury Free Dentistry
Snoring and Sleep Apnea
Vivos
®
TMJ Disorder, Bruxism, and Migraine Treatments
Cosmetic & Implant Dentistry
Cosmetic & Implant Dentistry
Porcelain Veneers
Teeth Whitening
Dental Implants
Dental Bonding
Dental Bridges and Crowns
Tooth Colored Fillings
Full Mouth Reconstruction
Orthodontics
Orthodontics
Children’s Two-Phase Orthodontic Treatment
Orthodontics for Adults
ALF Lightwire Orthodontics
Myobrace
®
Invisalign
®
Contact
Bringing Out the Very Best in
Your Smile
Gallery
Previous
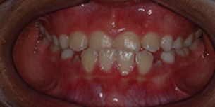
Patient 20
Next
Before
After
Patient Details:
This patient underwent Phase 1 Orthodontic treatment to correct an underbite.
Dentistry Through the Ages
Kids & Teens
20s - 30s
40s - 50s
60s & Beyond
Learn More
Contact Us
905.731.8220
Email Us